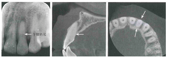
一、牙髓钙化
牙髓组织血液循环较差,髓室随年龄增长其内层继发性牙本质也逐渐增多而致髓室变窄,根尖孔也逐渐变小,引起牙髓内血液循环减少,加之牙受各种理化因素刺激,牙髓组织发生代谢障碍,细胞变性,纤维成分增多,牙髓活力降低,引起牙髓变性。牙髓变性后钙盐沉积,形成大小不等的沉积物。牙髓钙化有两种形式,一是髓石形成,一是弥散性钙化。髓石可有不同的形状,有的表现为游离在髓室内的类圆形物,有的表现为条状或针状,弥散性钙化可表现为沙砾状布满髓腔内。
【临床表现】前、后牙均可发生牙髓钙化。一般无临床症状,常常是X线片偶然发现。极少数患者可因髓石压迫牙髓神经引起放射性疼痛,似三叉神经痛,但无扳机点;有的可表现为急性牙髓炎疼痛症状。

【影像学表现】牙髓钙化X线表现有两种类型,一是局限性,表现为髓石;一是弥散性,表现为髓室及根管钙化。局限性髓石与髓室形状有一定关系。后牙髓石往往表现圆形或卵圆形,大小不一。髓石可游离于髓室内,也可附着于髓室壁。前牙髓室较小,髓石可呈条状或针状充满于髓室及根管内,其周围有线状低密度影像围绕。弥散性牙髓钙化表现为正常髓室及根管影像完全消失,不能辨别出髓腔界限。有的髓腔尚可见,但变得很细,这种情况通常影响牙髓和根管治疗。

二、牙内吸收
牙内吸收是由于牙髓受到不良刺激后,牙髓组织发生肉芽性变,其内产生破骨细胞而引起髓室内牙本质吸收。一般由创伤或慢性炎症所引起,但在作过活髓切断术或再植术的牙也可发生牙内吸收。
【临床表现】一般无自觉症状,少数可出现类似牙髓炎的疼痛症状。以上颌前牙多见,后牙也可发生,后牙的内吸收往往与牙根折裂存在相关性。当牙本质吸收程度较重时,牙硬组织变薄,肉芽组织的颜色可透到牙表面而呈粉红色,严重时可发生病理性折断。

【影像学表现】患牙髓腔扩大,呈圆形或卵圆形或不规则形密度减低的透射影。发生于根管者,有长短不一、粗细不均沿根管的扩大影,髓室壁或根管壁变薄。可伴有根尖吸收和根尖感染,甚至发生折断。








